Nowa przeglądarka preparatów histologicznych

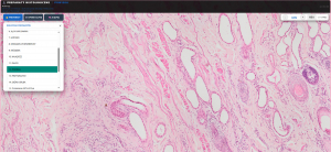
Z przyjemnością prezentujemy Przeglądarkę Preparatów Histologicznych AI, stworzoną we współpracy z Katedrą Histologii i Embriologii. Aplikacja oferuje dostęp do 20 starannie przygotowanych preparatów histologicznych oraz umożliwia ich pełny, intuicyjny podgląd w wysokiej jakości.
Nasze rozwiązanie to nie tylko przeglądarka — to zaawansowane narzędzie analityczne. Zintegrowane moduły analizy i przetwarzania obrazu pozwalają na automatyczne wykrywanie oraz liczenie struktur histologicznych, znacząco wspierając proces dydaktyczny i badawczy. Wykorzystujemy nowoczesne metody przetwarzania obrazu, bibliotekę OpenCV oraz dedykowane modele sieci neuronowych, które można elastycznie dopasować do konkretnych potrzeb.
Aplikacja działa w technologii wielowątkowej, efektywnie wykorzystując zarówno CPU, jak i GPU, co przekłada się na wysoką wydajność i płynność działania. Przeglądarka jest w pełni zoptymalizowana pod kątem urządzeń stacjonarnych i mobilnych. System będzie sukcesywnie rozwijany o kolejne preparaty oraz nowe modele przetwarzania obrazu.
Narzędzie dostępne jest dla studentów oraz pracowników ŚUM na platformie elearning.



